『好多年了,肩膀總是隱隱作痛,逐漸越來越痛…』
『手抬高時或丟球投球時,會更加劇痛…』
如果你有上述病症,有可能是有肩峰下夾擊症候群
人體就像是一部機器,所有的功能異常,應該都要回到結構來解釋
我們的旋轉肌袖是走在肩峰下與近端肱骨之間的肩峰下空間,
雖然大家的肩膀外型是類似的,但是在內部的骨頭結構卻大有不同,
肩峰下的骨性結構大概可以分為三型,第一型平面型,第二型曲面型,第三型勾狀型

一般而言,病患可能會從年輕時就有症狀一直到中老年時才變得越來越嚴重,
旋轉肌袖在其骨附著點因為先天上血流供應較少,
因此若反覆累積磨損,常會因為癒合不良而導致斷裂。
如何診斷肩峰下夾擊症候群
病人常抱怨有逐漸發生的肩膀痛,
或做出手舉高過頭投擲動作, 或做家事如晾衣服或擦玻璃,肩膀會有劇痛痠軟。
疼痛甚至有時會轉移到三角肌及上臂中段地方.
典型的夾擊病徵指的是肩膀由前上舉至60-120度左右時
會疼痛痠軟而無法再上舉,但是舉超過120度疼痛又較為緩解。

霍金氏病徵(Hawkins sign):肩膀作前舉 90°手肘彎曲再作
肩內轉動作(forward flexion and internal rotation)時會劇烈疼痛

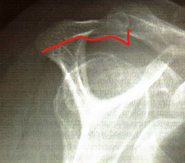
X光檢查:
腋側像(axially lateral view)檢查是否有肩峰骨未融合(Os acromionale)

棘上肌出口像(supraspinatus outletviews)可看肩峰的骨性結構外形(morphology)
正常的肩峰結構:平滑的肩峰下曲線

異常的肩峰下結構可見一往下延伸的骨刺

核磁共振下可見肩峰下骨刺及其上附著增厚硬化的韌帶結構

治療
治療分為非手術治療與手術治療,建議病患都應該先嘗試非手術治療,
主要包括:避免手臂抬高過頭的動作,加上積極的物理治療及旋轉肌袖強化訓練,
若是運動員則要改變投球方法,鍛鍊核心肌群,
以軀幹肌肉來使力投擲,如此可以降低肩關節過度用力。
非常疼痛難耐可以使用超音波導引類固醇注射,
近年來,因為再生治療觀念的盛行,自體血小板濃厚液,
也就是大家熟知的PRP,對於改善疼痛有顯著效果,
因為PRP製備費用很貴,建議病患還是應該完全的了解肩部病兆,做好完整檢查,
這樣比較能夠評估PRP的成功率。
PRP是很好的治療,只是並不是每一種狀況都適合。
手術治療
非手術治療其實並不能改變肩峰下的骨性結構,
所以有時病患會覺得保守治療症狀反反覆覆,
一般建議,如果三個月的非開刀方法治療無效,
建議就直接開刀治療,手術必須仔細修整喙突肩蜂韌帶(coracoacromial ligament),
清除前外側的肩峰骨,以及縫補破裂的旋轉肌。
使用關節鏡治療肩關節疾患已經是行之有年的技術,
健保也有給付,在關節鏡下手術可減少術後不適,加速復健,
民眾就醫時應多加詢問執刀醫師的手術方法。
看更多骨科衛教文章(請點我)
作者: 台北醫學大學 雙和醫院 骨科專科主治醫師 王智毅
經歷:
新光醫院骨科主治醫師
林口長庚醫院骨科主治醫師
關節鏡醫學會會員
肩肘關節鏡醫學會會員
脊椎外科醫學會會員
脊椎內視鏡醫學會會員
手外科專科醫師
專長:
1. 微創骨科關節鏡手術
膝關節鏡:前後十字韌帶重建、半月板修補術、關節軟骨退化
肩關節鏡:旋轉肌腱修補、肩關節唇盂破裂、習慣性脫臼重建手術、
五十肩手術,鈣化性肌腱炎
踝關節鏡 / 腕關節鏡
2. 微創人工關節置換: 膝關節、髖關節、肘關節、肩關節
3. 微創脊椎內視鏡手術
4. 微創骨折外傷手術
5. 再生醫療: 自體血小板濃縮液注射
網路掛號: 雙和醫院(請點我可連結網頁)
門診時間:周一上午 周一下午 周三上午 周四下午
沒有留言:
張貼留言